
时时有肺结节一又友问我:杜造就,有莫得什么小才智不错匡助我加强散结后果啊?

今天就给大师浅易共享3个日常生果种的散结小赞理,吃对了,不错说,对扶持养息大有裨益,淌若错过了,属实有点可惜:
第相同:橘络——行气化痰的通络之宝
好多东说念主吃橘子时心爱把橘瓣上那层白色的筋络撕干净,其实这恰好销耗了一味良药。橘络,也等于橘子的中果皮和维管理,性味甘苦平,归肝、肺经,具有行气通络、化痰止咳的功效。它就像一位清说念夫,能通顺经络中的痰浊淤堵,关于痰瘀阻络造成的肺结节,有很好的扶持作用。普通吃橘子,不妨连同橘络一说念食用,大致用干橘络泡水喝;

第二样:无花果——健脾清肠的软坚之果
无花果,中医以为它味甘性凉,归肺、胃、大肠经,有健脾清肠、清热润肺、解毒消肿的作用。它富含多种酶类物资,有助于遗弃痰湿凝合,关于肺热痰多、咽喉不适跟随的肺结节东说念主群十分友好。鲜食或煲汤均可,是日常养护的佳品;
第三样:山楂——活血化瘀的散结之果
山楂不仅消食健胃,更是一味活血化瘀的良药。它味酸甘性微温,归脾、胃、肝经,bet365能活血散瘀、行气消积。关于因血瘀导致的肺结节,山楂能改善局部血液轮回,匡助消释瘀滞。但需谨防,胃酸过多或脾胃朽迈者不宜空心大量生食,可煮熟或泡水饮用。
底下共享一个医案,结节一又友不错浅易学一下:

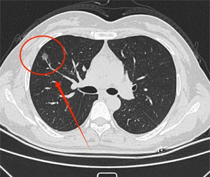
张先生,52岁,体检发现右肺下叶一枚8毫米夹杂磨玻璃结节。十分神焦,自述普通社交多,常感胸闷、咳极少白痰、躯壳困重,喉咙不深远,饭后尤其赫然。舌苔白腻,舌质暗红,边有齿痕,金年会(JinNianHui)体育这是典型的痰湿内盛、气滞血瘀之象。
关于这类患者,养息要点在于健脾祛湿、理气化痰、活血散结。给他开了一个以二陈汤合血府逐瘀汤加减的方子,其中关节药物为:
法半夏,陈皮,茯苓,丹参,桃仁,浙贝母,生牡蛎(先煎),柴胡,甘草。
配伍念念路:法半夏、陈皮、茯苓燥湿化痰,健脾渗湿,阻绝生痰之源;丹参、桃仁活血化瘀,通络散结;浙贝母、生牡蛎软坚散结,化痰退核;柴胡疏肝理气,气行则血行痰消;甘草长入诸药。全方共奏化痰祛瘀、软坚散结之功。
另外,我极度布置他:每天用橘络3克泡水代茶饮,下昼加餐5-6颗无花果干,晚餐后用5-6片山楂煮水饮用,以此行为日常扶持养息。

他坚捏养息了三个多月,最赫然的感受是:胸闷消失了,咳痰赫然减少,扫数这个词东说念主大肆了不少。复查肺CT夸耀:右肺下叶夹杂磨玻璃结节松开至4毫米,实性要素经受,密度变淡,趋于消释。他惊喜地跟我说:“真没意料,中药合营这三种生果,后果能这样赫然!”
我也很为他欢欣,好多手艺,在系统法式的养息基础上,合营一些扶持化痰通络、活血散结的小宗旨,时时能收到渔人之利的后果,结节当然无处安身金年会体育,迟缓消失。固然,这些仅作日常养息扶持,不可代替法式养息,尤其是结节有恶变倾向或随访中出现危急方法,务必实时就医,切勿延误。
澳门威斯人app官网下载入口