
春天到了,万物复苏,最近有不少找我解读陈述的粉丝一又友问:杜栽培,您说我我方在家能弗成作念点啥,对散结有匡助呢?

本体上,春季如实是防备肺结节、改善体质的黄金窗口,中医讲“顺时而养”,春季对应五脏中的肝,肝气满足则气血运动,痰瘀自消;反之,肝气郁结,气滞血瘀,就容易生长结节。
这个时节,巧用菜篮子里的几样“散结菜”,谄谀体质防备,经常能收到渔人之利的效劳:
第同样:蒲公英
田间地头随地可见的蒲公英,既是野菜亦然药。它入肝、胃经,擅长清热解毒、消肿散结。尤其是春季刚长出的嫩蒲公英,凉拌或煮水喝,对气滞血瘀、痰热互结型的肺结节有很好的援救防备作用;
第二样:马齿苋
马齿苋被称为“自然抗生素”,能清热解毒、凉血散瘀。它富含Omega-3脂肪酸,有助于裁减体内慢性炎症水平。春季采簇新马齿苋焯水后凉拌,玩忽作念馅包饺子,不仅幽香爽口还能援救散结;

第三样:荠菜
荠菜是春天的报春菜,能健脾利水、止血明目。它能匡助运化体内痰湿,改善脾虚湿盛的情状,从源流上减少痰浊生成。荠菜煮鸡蛋、荠菜豆腐羹齐是可以的剿袭。
这些野菜看似日常,金年会官网首页入口却是大当然送礼的“散结良药”。诚然,食疗仅仅援救,要道依然要系统散结。底下共享一个真确案例:
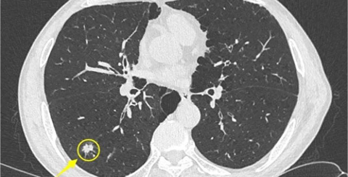
昨年接诊的45岁的刘女士,因体检发现右肺一个6mm的磨玻璃结节,整天忧心忡忡。她自述平时爱生闷气,两胁胀痛,月事前乳房胀痛,嗓子总合计有痰。不雅其舌象,舌暗红,苔薄黄,边有瘀点,这是典型的肝郁气滞、痰瘀互结证。春季肝气应时,她这种体质最容易加剧。
我在叮咛她多吃春季时令野菜的同期,给她开了以纵脱散合二陈汤为基础加减的方子,其中五味要道药材功不可没:柴胡9克,白芍12克,茯苓15克,陈皮9克,浙贝母12克。

这个配伍很有走漏:柴胡疏肝解郁,调畅气机;白芍柔肝缓急,养血敛阴;茯苓健脾渗湿,根绝生痰之源;陈皮理气化痰,燥湿和胃;浙贝母清热化痰,软坚散结。几药合用,共奏疏肝健脾、化痰散结之功。
她坚合手防备了三个月金年会体育,本领谄谀春季食疗,自述胸闷、胁痛默契改善。后复查CT透露:6mm磨玻璃结节已奢靡祛除!
时时彩app官方网站下载